Dal difetto osseo al sigillo biologico: un approccio integrato

Sesso

F

Età

44 anni

Patologie pregresse

Nessuna

Situazione ossea

Atrofia discreta della cresta alveolare edentula

Situazione tessuti molli

Collasso vestibolo-linguale dei tessuti molli

Igiene orale

Buona

Ragioni della visita

Difficoltà masticatorie nel quarto quadrante conseguenti alla perdita del ponte 45-47 per complicanze endodontico-protesiche

Attitudini e desideri
Descrizione

Introduzione

La perdita degli elementi dentari innesca una cascata di eventi biologici che culminano nel rimodellamento della cresta alveolare residua. Questo processo comporta una riduzione dimensionale media del 50% in larghezza e del 30% in altezza nei primi 12 mesi post-estrattivi, con le maggiori alterazioni nei primi 3-6 mesi (1) . Tale riassorbimento osseo può determinare situazioni anatomiche che compromettono significativamente la possibilità di una riabilitazione implanto-protesica convenzionale, richiedendo procedure rigenerative più o meno complesse. La rigenerazione ossea guidata (GBR) si è affermata come tecnica gold standard per il ripristino di volumi ossei adeguati. Il principio biologico della GBR, basato sull’esclusione competitiva delle cellule non osteogeniche mediante membrane barriera, è validato da oltre trent’anni di evidenze cliniche e sperimentali (2). Le mesh in titanio hanno rappresentato un’evoluzione significativa, permettendo di mantenere lo spazio rigenerativo anche in difetti non contenitivi. Revisioni sistematiche riportano tassi di successo implantare del 95-97% in siti rigenerati con mesh in titanio, con guadagni ossei medi di 4.3 mm orizzontalmente e 4.11 mm verticalmente (3). L’avvento della tecnologia CAD/ CAM ha ulteriormente rivoluzionato questo approccio. Le mesh customizzate, progettate digitalmente sui dati anatomici patient-specific, eliminano le criticità legate all’adattamento intra-operatorio, riducendo i tempi chirurgici del 35-40% e minimizzando il rischio di esposizione dal 28% delle mesh convenzionali al 15.2%4,5. Nella tecnica di GBR, il protocollo standard prevede l’utilizzo di una miscela composta al 50% da osso autologo e al 50% da osso eterologo, combinazione che garantisce sia le proprietà osteogeniche dell’autoinnesto che la stabilità volumetrica dello xenoinnesto. Un’innovazione significativa in questo ambito è rappresentata dall’introduzione dei polinucleotidi associati all’acido ialuronico in forma di gel, che viene aggiunto a questa miscela ossea introducendo il concetto di “bioregenerazione”. I polinucleotidi sono noti per la loro capacità di creare un microambiente idratato, trofico e protettivo che favorisce la crescita e la vitalità cellulare a scopo riparativo6 . L’acido ialuronico presente nella formulazione potenzia l’efficacia dei polinucleotidi del 20%, mantenendo l’idratazione tissutale ottimale (6) . Questa combinazione sinergica fornisce un “boost” biologico al processo rigenerativo, accelerando la guarigione e la neoangiogenesi. Studi clinici recenti dimostrano come l’aggiunta del gel viscoelastico al solo osso eterologo permetta di ridurre i tempi di guarigione da 8-9 mesi a 5-6 mesi (7). Parallelamente alla gestione dei tessuti duri, è fondamentale creare un sigillo mucoso peri-implantare stabile e con caratteristiche anatomiche e biologiche adeguate, elemento critico per il successo a lungo termine della riabilitazione implantare. Questo obiettivo richiede un approccio integrato che consideri sia il fenotipo dei tessuti molli che il design della componente transmucosa implantare. Un fenotipo sottile, caratterizzato da uno spessore mucoso inferiore a 2 mm e una ridotta banda di tessuto cheratinizzato, è stato identificato come fattore di rischio per lo sviluppo di recessioni mucose (OR 3.2), perdita ossea marginale e complicanze biologiche (8) . La modificazione del fenotipo tissutale, tradizionalmente ottenuta mediante innesti di tessuto connettivo autologo, può in determinate situazioni essere realizzata con matrici in collagene eterologhe che hanno dimostrato risultati clinici sovrapponibili con significativa riduzione della morbidità (9) . Contestualmente, risulta determinante la scelta di impianti con componenti transmucose dal design concavo e/o convergente, in grado di favorire uno spazio biologico adeguato per la maturazione dei tessuti molli e di ridurre fino al 37% la perdita ossea marginale rispetto ai design tradizionali (10).

Obiettivi

Il presente caso clinico descrive un approccio terapeutico integrato: rigenerazione ossea guidata mediante mesh customizzata, utilizzo di gel a base di polinucleotidi miscelato con osso autologo ed eterologo, inserimento di impianti tissue level con design tramucoso concavo, e modificazione del fenotipo mediante matrice in collagene. Questo approccio permette di ottenere un sigillo mucoso stabile e duraturo che si ripercuote positivamente sulla composizione del microbioma peri-implantare, valutato attraverso tecniche di sequenziamento metagenomico shotgun ad alta risoluzione (11, 12).

Descrizione del caso

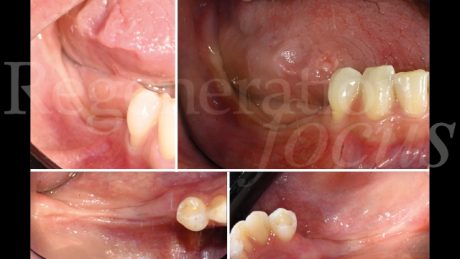
Una paziente di 44 anni, non fumatrice e in buone condizioni di salute generale, si è presentata riferendo significative difficoltà masticatorie, nel quarto quadrante, conseguenti alla perdita del ponte 45-47 per complicanze endodontico-protesiche. L’anamnesi medica non rivelava patologie sistemiche di rilievo né assunzione di farmaci che potessero interferire con i processi di guarigione ossea. L’esame intraorale evidenziava una discreta atrofia della cresta alveolare edentula con collasso vestibolo-linguale dei tessuti molli (Fig. 1). Gli elementi dentari adiacenti presentavano condizioni parodontali stabili. L’analisi radiografica tridimensionale, mediante CBCT, ha permesso una valutazione dettagliata del deficit osseo (Fig. 2). Dopo discussione delle diverse opzioni terapeutiche, inclusa la possibilità di impianti corti, si è optato per una rigenerazione ossea guidata mediante mesh customizzata.

La pianificazione digitale ha guidato il design di una mesh patient-specific (Yxoss CBR® Protect) con spessore 0.6 mm, perforazioni di 1.2 mm, estensione 3 mm oltre i margini del difetto (Fig. 3).

L’intervento chirurgico è stato eseguito in anestesia loco-regionale. È stato elevato un lembo trapezoidale composto da un’incisione crestale e da un’incisione verticale di svincolo posizionata due elementi mesialmente al difetto, mentre distalmente l’incisione è proseguita nella regione retromolare (Fig. 4). Particolare attenzione è stata posta al rilascio periostale, eseguito sia vestibolarmente che lingualmente, permettendo una mobilizzazione coronale di entrambi i lembi di circa 8 mm senza tensione.

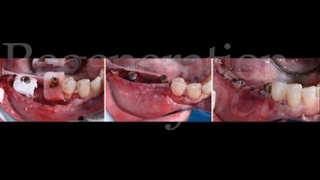
La mesh customizzata si è adattata perfettamente al sito ricevente, confermando la precisione della pianificazione digitale (Fig. 5). Il materiale da innesto è stato preparato combinando osso autologo particolato, raccolto dalla linea obliqua esterna mediante grattino monouso (SafeScraper, Meta), con osso bovino deproteinizzato di granulometria 0,25-1 mm (Geistlich Bio-Oss®) in rapporto 50:50. A questa miscela sono stati aggiunti 0.3 ml di gel a base di polinucleotidi e acido ialuronico (Regenfast®), creando una mixture bioregenerativa che è stata accuratamente compattata all’interno della mesh (Fig. 6).

La fissazione è stata ottenuta mediante tre viti in titanio da 1.5×5 mm (Viti FYxoss, MCbio) posizionate strategicamente (Fig. 7). Una membrana in collagene 30×40 mm (Geistlich Bio-Gide®) è stata posizionata a copertura della mesh (Fig. 8). La chiusura primaria tension-free è stata ottenuta con suture orizzontali a materassaio e punti staccati (Fig. 9).

Il follow-up a 2 e 4 settimane ha documentato la guarigione per prima intenzione. A 6 mesi, la CBCT ha evidenziato eccellente integrazione dell’innesto con ottimale densità ossea (Fig. 10). La seconda fase chirurgica ha previsto la rimozione della mesh e l’inserimento simultaneo di due impianti tissue level (3.7 x 10 mm plat. 3.7 in sede 45; 3.7 x 8 mm plat. 4.5 in sede 47) caratterizzati da un design transmucoso concavo di 1.8 mm con superficie anodizzata (Matrix Line, TRI Dental Implants) (Fig. 11). Il torque di inserimento di 45 Ncm ha confermato l’ottima qualità ossea.

Durante la stessa seduta, valutato il sottile spessore mucoso, si è proceduto alla modificazione del fenotipo tissutale. Una matrice di collagene (Geistlich Fibro-Gide®) è stata posizionata con tecnica “a poncho”: la matrice è stata bucata in corrispondenza delle viti di guarigione degli impianti e posizionata sulla cresta alveolare, permettendo di ispessire il complesso dei tessuti molli sovracrestali sia verticalmente che orizzontalmente (Fig. 12).

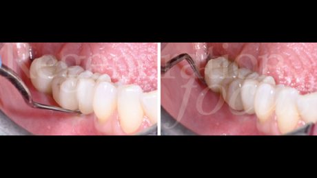
Il periodo di osteointegrazione è trascorso senza complicanze (Fig. 13). A quattro mesi, l’impronta digitale con scanner intraorale ha registrato la morfologia dei tessuti molli maturati (Fig. 14). Le corone monolitiche in zirconia stratificata sono state progettate e realizzate (Odt. Antonio Corradini) con emergenza graduale per supportare i tessuti molli, sfruttando la connessione diretta delle corone protesiche senza l’utilizzo di monconi o cemento, eliminando micro-gap e micro-movimenti in grado di compromettere la stabilità del sigillo biologico (Fig. 15).

A 12 mesi dal posizionamento delle protesi definitive è stato raccolto un campione biologico per eseguire un’analisi del microbioma peri-implantare mediante sequenziamento metagenomico shotgun ad alta risoluzione (PIT, PreBiomics Implant Test). Questa tecnologia ha permesso di valutare non solo le specie microbiche ma anche di registrare il livello di eubiosi e la compatibilità di quello specifico microbioma con la salute peri-implantare.

Risultati

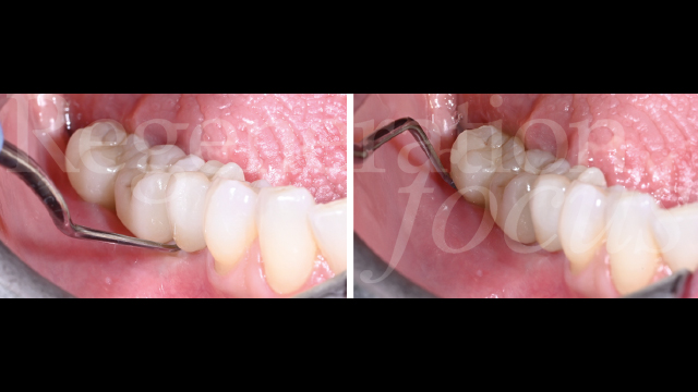
Il follow-up clinico e radiografico a 12 mesi ha documentato eccellente stabilità del risultato ottenuto. L’analisi radiografica non ha evidenziato rimodellamento osseo marginale né segni di radiolucenza peri-implantare o alterazioni della trabecolatura ossea (Fig. 16). I parametri clinici peri-implantari hanno mostrato profondità di sondaggio inferiori a 4 mm e assenza completa di sanguinamento al sondaggio. L’analisi del fenotipo tissutale ha documentato incremento significativo dello spessore mucoso e l’analisi del microbioma ha rivelato composizione batterica compatibile con la salute peri-implantare e il mantenimento dell’eubiosi (Figg. 17,18).

 

Bibliografia

1. Araújo MG, Silva CO, Misawa M, Sukekava F. Alveolar socket healing: what can we learn? Periodontol 2000. 2015 Jun;68(1):122-134.
2. Retzepi M, Donos N. Guided Bone Regeneration: biological principle and therapeutic applications. Clin Oral Implants Res. 2010 Jun;21(6):567-576.
3. Briguglio F, Falcomatà D, Marconcini S, Fiorillo L, Briguglio R, Farronato D. The Use of Titanium Mesh in Guided Bone Regeneration: A Systematic Review. Int J Dent. 2019 Feb 7;2019:9065423.
4. Zhou L, Su Y, Wang J, Wang X, Liu Q, Wang J. Effect of Exposure Rates With Customized Versus Conventional Titanium Mesh on Guided Bone Regeneration: Systematic Review and Meta-Analysis. J Oral Implantol. 2022 Aug 1;48(4):339-346.
5. Hartmann A, Seiler M. Minimizing risk of customized titanium mesh exposures – a retrospective analysis. BMC Oral Health. 2020 Feb 3;20(1):36.
6. Colangelo MT, Belletti S, Govoni P, Guizzardi S, Galli C. A Biomimetic Polynucleotides–Hyaluronic Acid Hydrogel Promotes Wound Healing in a Primary Gingival Fibroblast Model. Applied Sciences. 2021;11(10):4405.
7. Beretta M, Manfredini M, Dellavia CPB, Pellegrini G, Maiorana C, Poli PP. Xenograft Combined with a Mixture of Polynucleotides and Hyaluronic Acid (PN-HA) for Horizontal Alveolar Bone Regeneration: Clinical and Histologic Assessments in a Case Series. Int J Periodontics Restorative Dent. 2025 Mar 6;45(2):209-219.
8. Tavelli L, Barootchi S, Avila-Ortiz G, Urban IA, Giannobile WV, Wang HL. Peri-implant soft tissue phenotype modification and its impact on peri-implant health: A systematic review and network meta-analysis. J Periodontol. 2021 Jan;92(1):21-44.
9. Thoma DS, Naenni N, Figuero E, Hämmerle CHF, Schwarz F, Jung RE, Sanz-Sánchez I. Effects of soft tissue augmentation procedures on peri-implant health or disease: A systematic review and meta-analysis. Clin Oral Implants Res. 2018 Mar;29 Suppl 15:32-49.
10. Zamparini F, Spinelli A, Gandolfi MG, Prati C. 10 Years of Convergent Neck Implants: A Systematic Review of Clinical Outcomes, Initial Original Concepts, and Changes in Surgical and Prosthetic Protocols. Applied Sciences. 2024;14(17):7568.
11. Ghensi P, Manghi P, Zolfo M, Armanini F, Pasolli E, Bolzan M, Bertelle A, Dell’Acqua F, Dellasega E, Waldner R, Tessarolo F, Tomasi C, Segata N. Strong oral plaque microbiome signatures for dental implant diseases identified by strain-resolution metagenomics. NPJ Biofilms Microbiomes. 2020 Oct 30;6(1):47.
12. Ghensi P, Heidrich V, Bazzani D, Asnicar F, Armanini F, Bertelle A, Dell’Acqua F, Dellasega E, Waldner R, Vicentini D, Bolzan M, Trevisiol L, Tomasi C, Pasolli E, Segata N. Shotgun Metagenomics Identifies in a Cross-Sectional Setting Improved Plaque Microbiome Biomarkers for Peri-Implant Diseases. J Clin Periodontol. 2025 Jul;52(7):999-1010.

GUARDA I NOSTRI CONTENUTI CLINICI
Scopri i nostri casi clinici, i video chirurgici, le Re-live Surgeries e tanto altro!
ESPLORA ARTICOLI E APPROFONDIMENTI
Leggi articoli e approfondimenti scientifici riconosciuti dalla comunità scientifica internazionale
PARTECIPA AD UNO DEI NOSTRI EVENTI
Scopri gli eventi residenziali, partecipa ai webinar e guarda le
Re-live Surgeries
Attenzione
In ottemperanza con quanto previsto dalla normativa vigente, dichiaro sotto la mia responsabilità di essere un professionista del settore odontoiatrico e di essere pertanto autorizzato a prendere visione del contenuto presente in questo sito internet.