Regeneration focus

Il portale della rigenerazione

13

Giu'25

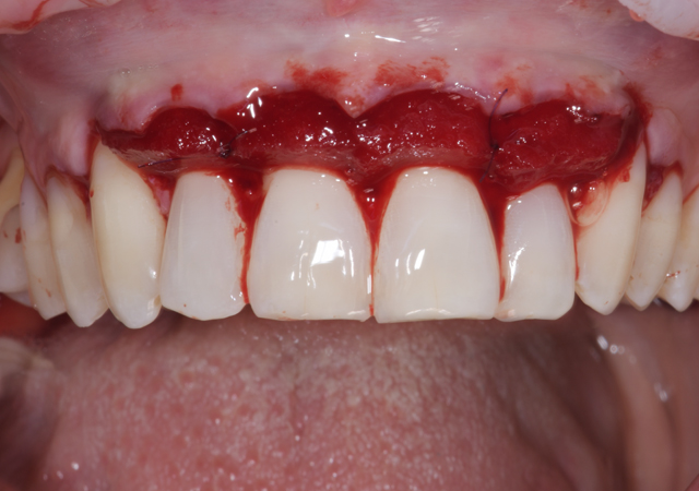
Trattamento della peri-implantite

  Paziente di anni 55, moderato fumatore, all’interno di un sistema di Terapia parodontale di supporto (SPT) con frequenza trimestrale. …

Read More
Attenzione
In ottemperanza con quanto previsto dalla normativa vigente, dichiaro sotto la mia responsabilità di essere un professionista del settore odontoiatrico e di essere pertanto autorizzato a prendere visione del contenuto presente in questo sito internet.